Per uso Industriale e Nautico da a 100mm. It joins the facial nerve (cranial nerve VII) inside the facial canal, at the level where the facial nerve exits the skull via the stylomastoid foramen, but exits through a different route. La chorda tympani è un ramo del nervo facciale e, insieme ad altri nervi, è importante per trasportare informazioni sul gusto e altre sensazioni dalle papille gustative al cervello.
Quando la corda del timpano è danneggiato, la sua funzione inibitoria è perturbato, portando ad attività meno inibito negli altri nervi. Chorda Tympani Nerve. The chorda tympani may be gently moved superiorly and inferiorly.
Produzione Cordame Industriale per edilizia e avviamento motori. Thank you for your interest in spreading the word about The BMJ. After it leaves its origin, it travels along the middle ear and reaches the brain with information related to the taste sensation.
The tympanic segment of the chorda tympani cannot be seen as it traverse posteroanteriorly through the middle ear. The authors conducted a study to assess chorda tympani and trigeminal nerve function in these patients.
It runs upward and forward in a canal, and enters the tympanic cavity, through an aperture (iter chordæ posterius) on its posterior wall, close to the medial surface of the posterior border of the tympanic membrane and on a level with. The taste system involves a complicated feedback loop, with each nerve acting to inhibit the signals of other nerves.
Thirty patients were included in this study. The methods used were measuring taste thresholds using electrogustometer to map taste threshold on the anterior two-third of the tongue on the operated side with the non operated side as the. Numerous factors influence whether injury to the chorda tympani causes symptoms, including the extent of injury, type of surgery, age of the patient, anatomical variables and subjective adaptation.
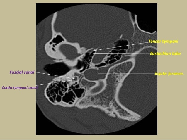
The origin of the chorda tympani nerve is a branch of one of the major facial nerves, referred to as the seventh cranial nerve. Special visceral afferent fibres: These fibres take taste sensations from anterior ⅔rd of tongue (with the exception of vallate papillae). The Tegmental Wall or Roof ( paries tegmentalis ) is formed by a thin plate of bone, the tegmen tympani, which separates the cranial and tympanic cavities.
Middle ear structures, like incudostapedial joint, promontory or chorda tympani are invisible. A small cone of light can be seen in posterior quadrant. This is a picture of the child with normal tympanometry and tonal audiometry, without history of ear infections (fig.
2). Right chorda tympani nerve, viewed from lateral side Taste. There are similarities between the tastes the chorda tympani picks up in sweeteners between mice and primates, but not rats. Relating researchto humans is therefore not always consistent.
Sodium chloride is detected and recognized most by the chorda tympani nerve. Definition of CHORDA TYMPANI in the Definitions. Meaning of CHORDA TYMPANI. What does CHORDA TYMPANI mean?
Information and translations of CHORDA TYMPANI in the most comprehensive dictionary definitions resource on the web. Canaliculus for chorda tympani - Canaliculus chordae tympani Anatomical Parts. Explanation: É o nome de um nervo. Methods: This prospective study demonstrates different management modalities of chorda tympani nerve in endoscopic stapes surgery according to the endoscopic anatomical relationship between the.
DR ALISHAS DENTAL EDUCATIONAL HUB 4views. Cranial nerves applied anatomy. Submandibular ganglion. The anatomy of the chorda tympani differs from standard descriptions, particularly regarding its exit from the middle ear and area of lingual innervation.
Whilst it is known to convey taste sensation from the anterior two-thirds of the tongue and parasympathetic innervation to the submandibular and sublingual salivary glands, the chorda tympani probably has additional sensory and secretomotor. Neural competition among multiple inputs can affect the refinement and maintenance of terminal fields in sensory systems.

In the rat gustatory system, the chorda tympani, greater superficial petrosal, and glossopharyngeal nerves have distinct but overlapping terminal fields in the first central relay, the nucleus of the solitary tract. You may redistribute it, verbatim or modifie providing that you comply with the terms of the CC-BY-SA.
Nessun commento:
Posta un commento
Nota. Solo i membri di questo blog possono postare un commento.